荔枝美
口腔优惠 整形设计 咨询变美

您的位置:荔枝美 >医院项目 > 口腔 > 正文

深圳中环口腔曾景量做韩国奥齿泰种植牙2680元起,实惠之选

深圳中环口腔曾景量做韩国奥齿泰种植牙2680元起,实惠之选

优惠价¥2680 原价4670

项目医生:曾景量

优惠医院:深圳中环口腔门诊部

预约优惠

发布时间:2025-10-16 15:02:02 阅读:

嘿,各位牙友们!今天咱们要聊的可是口腔界的热门话题——深圳中环口腔曾景量医生做韩国奥齿泰种植牙。听说他家做韩国奥齿泰种植牙价格 2680 元起,这可真是太让人心动啦!接下来,咱们就一起深入了解一下。

深圳中环口腔曾景量做韩国奥齿泰种植牙价格 2680 元起,这价格香不香?

深圳中环口腔曾景量做韩国奥齿泰种植牙价格 2680 元起,这价格香不香?

当你走进种植牙的海内外,那价格的差异就像坐过山车一样。不同品牌、不同医院、不同医生,价格那是千差万别。而深圳中环口腔曾景量医生做韩国奥齿泰种植牙价格 2680 元起,这简直就是性价比之王啊!要知道,韩国奥齿泰种植牙本身就是一款在市场上口碑不错的种植体,它的质量和性能都有一定的保护。在其他地方,可能这个价格连个零头都不够呢。深圳中环口腔能给出这样的价格,真的是给咱们牙友们送补贴啦。而且,这个价格不仅仅是种植体的费用,还可能包含了一系列的检查、手术等相关费用,是不是特别划算?想想看,花小钱办大事,就能拥有一口健康的牙齿,这买卖太值啦!

深圳中环口腔曾景量做韩国奥齿泰种植牙的技术优势

深圳中环口腔曾景量做韩国奥齿泰种植牙的技术优势

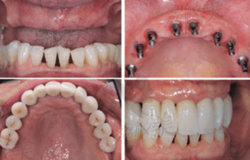
曾景量医生在种植牙领域那可是有着丰富的经验和不错的技术。他做韩国奥齿泰种植牙,就像是一位技艺高超的艺术家在创作一件理想的作品。首先,他会运用精良的口腔检查设备,对患者的口腔情况进行全方面、精细的分析。这就好比打仗前要了解敌情一样,只有清楚了患者的口腔状况,才能制定出更适合的种植方案。在种植过程中,曾医生熟练掌握种植技巧,能够精细地将种植体植入到牙槽骨中,就像狙击手精细命中目标一样。而且,韩国奥齿泰种植体本身也有特别多优势,它的表面处理技术能够促进种植体与牙槽骨的快速结合,提高种植的成功几率。曾医生再加上这个好帮手,种出来的牙齿不仅稳固,而且使用起来也非常舒适,就像自己原来的牙齿一样自然。

深圳中环口腔的医院优势

深圳中环口腔的医院优势

深圳中环口腔可不是一般的小诊所,它可是一家有着专精实力和良好口碑的口腔医院。医院的环境那是相当舒适,就像走进了一家高档的咖啡馆一样,让人感觉放松。医院的设备也都是起初进的,从口腔 CT 到种植手术设备,一应俱全。精良的设备就像是医生的得力助手,能够为种植牙手术提供更精细的支持。而且,医院的服务也非常贴心。从你走进医院的那一刻起,就会有专门的医护人员为你服务,解答你的疑问,安排各项检查和治疗。在整个种植牙的过程中,你都能感受到他们的专精和热情。另外,医院还注重 医疗质量的管理,严格遵循消毒和感染控制的标准,让你在安心的环境中接受治疗。

深圳中环口腔曾景量做韩国奥齿泰种植牙的成功实例

深圳中环口腔曾景量做韩国奥齿泰种植牙的成功实例

实践是检验真理的仅此标准,曾景量医生做韩国奥齿泰种植牙的成功实例就是更好的证明。有一位张大爷,牙齿缺失了好几颗,吃饭都成了问题。他来到深圳中环口腔找到曾景量医生,曾医生为他制定了详细的种植方案,采用韩国奥齿泰种植体进行种植。手术非常顺利,术后张大爷修复得也特别快。现在,张大爷又能像以前一样大口吃肉、大碗喝汤啦,他对自己的新牙齿非常满意,还经常向身边的老伙计们推荐曾医生和深圳中环口腔呢。还有一位年轻的上班族小李,因为意外导致牙齿缺失,影响了他的形象和自信心。在曾医生的帮助下,他做了韩国奥齿泰种植牙,术后牙齿看起来非常自然,就像没有缺过牙一样。小李又重新找回了自信,工作也更加顺利了。这些成功实例都充分说明了曾景量医生做韩国奥齿泰种植牙的技术是非常可靠的。

深圳中环口腔曾景量做韩国奥齿泰种植牙的口碑

深圳中环口腔曾景量做韩国奥齿泰种植牙的口碑

群众的眼睛是雪亮的,深圳中环口腔曾景量医生做韩国奥齿泰种植牙的口碑在牙友圈里那是相当不错。特别多患者在做完种植牙后,都在网上分享了自己的经历和感受。他们纷纷称赞曾医生技术好、态度好,深圳中环口腔的服务也非常周到。有的患者说,在其他医院询问的时候,感觉医生特别冷漠,而在深圳中环口腔,曾医生会耐心地解答他们的每一个问题,让他们心里特别踏实。还有的患者说,种植牙后修复得特别快,而且牙齿的使用成效也非常好,就像自己原来的牙齿一样。这些好评就是对曾医生和深圳中环口腔较大的肯定。良好的口碑也吸引了越来越多的牙友前来就诊,形成了一个良性的循环。

深圳中环口腔曾景量做韩国奥齿泰种植牙的预约挂号方式

深圳中环口腔曾景量做韩国奥齿泰种植牙的预约挂号方式

这么好的医生和医院,大家肯定都想尽快预约上。其实,深圳中环口腔提供了多种预约挂号方式,非常方便。你可以直接拨打深圳中环口腔的法定电话,跟客服人员说明你的需求,他们会为你安排合适的时间和曾景量医生。如果你觉得打电话不方便,也可以在深圳中环口腔的法定网站上进行预约。在网站上,你可以详细填写自己的个人信息和口腔情况,提交预约申请,医院的工作人员会在第一时间与你联系。另外,现在特别多第三方医疗服务平台也可以进行预约挂号。你只需要在平台上搜索深圳中环口腔和曾景量医生,按照提示操作就可以了。无论你选择哪种方式,都能轻松预约到曾景量医生,开启你的种植牙之旅。

总之,深圳中环口腔曾景量做韩国奥齿泰种植牙价格 2680 元起,不仅价格实惠,技术、医院、实例、口碑等方面都非常出色。如果你有种植牙的需求,不妨考虑一下深圳中环口腔和曾景量医生哦。

口腔

评价(已有0人点评)

热门评论

医生推荐

    医院推荐

  • 石嘴山小白兔口腔

    石嘴山小白兔口腔

    石嘴山小白兔口腔是具备正规诊疗资质的牙科,院内提供齐全的牙科诊疗服务,包括高难度种植牙、牙齿矫正、镶牙、烤瓷牙、义齿安装、儿牙、牙周治疗等,以及常见的洗牙、补牙、拔牙等常见的口腔问题,院内的牙科诊疗设备也非常齐全,医生技术稳定,经验十足,顾客好评度颇高![查看全文]

    2023-07-07 18:17:44

  • 广州医科大学附属口腔医院

    广州医科大学附属口腔医院

    广州医科大学附属口腔医院是2007年由广东省卫生厅批准成立的口腔专科医院,是集医疗、科研、教学、预防、保健为一体的三级口腔专科医院,2012年经广州医科大学批准成立广州医科大学口腔医学院,是广州医科大学口腔医学硕士研究生、本科生和成人教育学生的教学基地,我院是广东省及广州市公费医疗、广州市基本医疗保险定点医院、广铁集团公司职工基本医疗保险定点医院及广州市新型农村合作医疗市级定点医疗机构。[查看全文]

    2024-10-25 10:09:14

  • 吉林市丰满区臻美口腔门诊部

    吉林市丰满区臻美口腔门诊部

    吉林臻美口腔医院自成立以来,始终坚持以患者为中心,以技术为根本,不断引进先进的设备和技术,提升医疗服务水平。医院尤其注重医护人员的专业培训和技能提升,定期组织医生参加国内外学术交流和技术培训,以确保医疗服务的先进性和可靠性。医院的特色项目为种植和修复,并提供全面的口腔诊疗服务,力求满足不同患者的需求。医院接受医保结算和分期付款,方便患者就诊。预约挂号可享受免费的口腔检查,让患者在就诊前就能对自身口腔状况有一个初步了解。[查看全文]

    2024-11-07 10:52:20