嘿,各位爱美的小伙伴们!要是你正为牙齿不够美观而烦恼,那今天可算是来对地方啦!咱们今天要好好聊聊重庆众植博仕口腔的肖婷医生做超薄贴面的事儿,据说价格只要 1999 元起哦,这性价比简直逆天啦!

在当今这个看脸又看牙的时代,牙齿美观可是相当重要。特别多人都想通过超薄贴面来让自己的牙齿变得洁白整齐,可一听到价格,往往就打了退堂鼓。不过呢,重庆众植博仕口腔肖婷医生做超薄贴面价格 1999 元起,这可真是给咱们这些想变得更美的小伙伴们带来了福音。相比市面上其他口腔机构动辄几千甚至上万的超薄贴面价格,肖婷医生这里的价格简直太亲民了。而且,这 1999 元起可不是那种质量差的贴面哦,它是实实在在能给你带来良好成效的超薄贴面。对于那些预算有限但又渴望拥有美牙的朋友来说,这无疑是一个突出的选择。想象一下,花相对较少的钱就能拥有一口漂亮的牙齿,以后拍照再也不用遮遮掩掩,笑起来也更加自信啦!

肖婷医生可是隐适美签约医生,这就好比是拿到了口腔正畸界的“王牌证书”。她在口腔领域有着丰富的经验和高超的技术。在做超薄贴面时,肖婷医生会根据每位患者的牙齿情况、面部特征以及个人需求,进行个性化的设计。她会精细地把握贴面的厚度、颜色和形状,确保贴上去的成效自然逼真,就像天生的好牙一样。而且,肖婷医生操作手法娴熟,在粘贴贴面的过程中,能够较大程度地减少对牙齿的损伤,让患者在变得更美的同时,也能确保牙齿的健康。她还会耐心地和患者沟通,解答患者的各种疑问,让患者在整个治疗过程中都感到安心和舒适。有这样一位技术不错又贴心的医生为你服务,你还担心做不出满意的超薄贴面吗?

重庆众植博仕口腔可不是一般的小诊所,它是一家专精正规的口腔机构。医院拥有精良的口腔诊疗设备,这些设备就像是医生的“得力助手”,能够帮助医生更正确地诊断和治疗。比如,高精度的口腔扫描仪,可以快速、正确地获取患者牙齿的三维数据,为超薄贴面的设计提供严谨的依据。而且,医院的环境也非常舒适,干净整洁的诊疗室,温馨的候诊区,让患者一走进医院就感觉心情放松。此外,医院还汇聚了一批非凡的口腔医生团队,他们相互交流、学习,不断提升自己的专精水平。在这样的医院里接受治疗,就相当于给自己的牙齿上了一道“保险”,你完全可以放心地把牙齿交给他们。

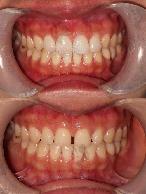
咱们光说不练假把式,来看看肖婷医生做超薄贴面的成功实例吧。有一位李先生,他的牙齿发黄、不整齐,平时都不太敢笑。在朋友的推荐下,他找到了肖婷医生。肖婷医生为他进行了详细的检查和个性化的设计,然后为他贴上了超薄贴面。做完之后,李先生的牙齿就像换了一副新的一样,变得洁白整齐。他整个人的魅力都提升了不少,现在他经常自信地开怀大笑,还经常向身边的朋友推荐肖婷医生。还有张女士,她之前因为牙齿有缝隙,说话都有点漏风,做了超薄贴面后,不仅牙齿变得美观了,连说话都变得更清晰了。这些成功实例都充分证明了肖婷医生做超薄贴面的技术是非常可靠的,能真正帮助患者解决牙齿问题,实现变得更美的梦想。

患者的口碑可是检验医生和医院好坏的重要标准。在重庆众植博仕口腔,肖婷医生做超薄贴面的口碑那是相当不错。特别多患者都对她的技术和服务赞不绝口。有的患者说,肖婷医生非常有耐心,会详细地解释每一个步骤,让自己心里特别踏实。还有的患者表示,做完超薄贴面后,成效超出了自己的预期,而且价格实惠,性价比极高。大家还对医院的环境和服务也特别满意,觉得在这里看牙是一种享受。这些良好的口碑都是肖婷医生和重庆众植博仕口腔用心服务的结果。如果你也想做超薄贴面,不妨听听这些患者的建议,相信你也会对他们的服务感到满意的。

这么好的医生和医院,大家肯定都想赶紧预约啦。其实,预约挂号非常方便。你可以直接拨打重庆众植博仕口腔的法定电话,和工作人员说明你的需求,他们会为你安排合适的时间和肖婷医生就诊。你也可以在医院的法定网站或者微信公众号上进行预约。在网站或公众号上,你可以了解更多关于超薄贴面的信息,还能查看医生的简介和患者的评价。按照上面的提示填写相关信息,提交预约申请就可以了。而且,现在特别多线上平台也支持预约挂号,你可以根据自己的喜好选择合适的方式。提前预约好,就不用在医院长时间等待啦,节省了你的时间和精力。
总之,重庆众植博仕口腔肖婷医生做超薄贴面价格 1999 元起,无论是价格、技术,还是医院的优势、实例和口碑,都非常值得大家信赖。如果你也想拥有一口漂亮的牙齿,不妨赶紧行动起来,预约肖婷医生吧!
安高新黄芳口腔门诊部是一家经过高新区行政审批局审批通过的正规口腔医院,医院成立于2016年,院内特色项目为口腔种植和口腔正畸,同时还开展牙周病诊疗、牙齿美白等各类口腔诊疗服务[查看全文]
2024-02-20 13:09:50
唐山职业技术学院附属医院口腔科是一所集医疗、教学、科研为一体的综合性口腔诊疗机构,为唐山市协和医院旗下重点科室之一。医院秉承“以患者为中心”的服务理念,依托市级医疗资源和实力强大的医技团队,致力于为唐山市民提供系统、科学、安全的口腔健康管理服务。随着专业科室的不断发展,唐山职业技术学院附属医院口腔科不仅具备完善的设备环境,还有多名实力担当的专家长期坐诊,深受本地患者认可。[查看全文]
2025-08-12 16:27:47
2021-12-08 15:23:36
2023-01-29 11:18:32
2023-09-01 15:04:13
2024-09-26 16:42:28
2022-11-03 10:25:43
2023-09-20 16:09:59
2024-01-10 11:41:52
2021-07-01 11:05:15
评价(已有0人点评)