荔枝美
口腔优惠 整形设计 咨询变美

您的位置:荔枝美 >医院项目 > 口腔 > 正文

杭州雅莱口腔医院成人补牙价格498起·舒适无痛更自然,修复“牙”气超有料!

杭州雅莱口腔医院成人补牙价格498起·舒适无痛更自然,修复“牙”气超有料!

优惠价¥498 原价550

项目医生:朱振威

优惠医院:杭州雅莱口腔门诊部(东城沿江院)

预约优惠

发布时间:2025-08-25 15:40:06 阅读:

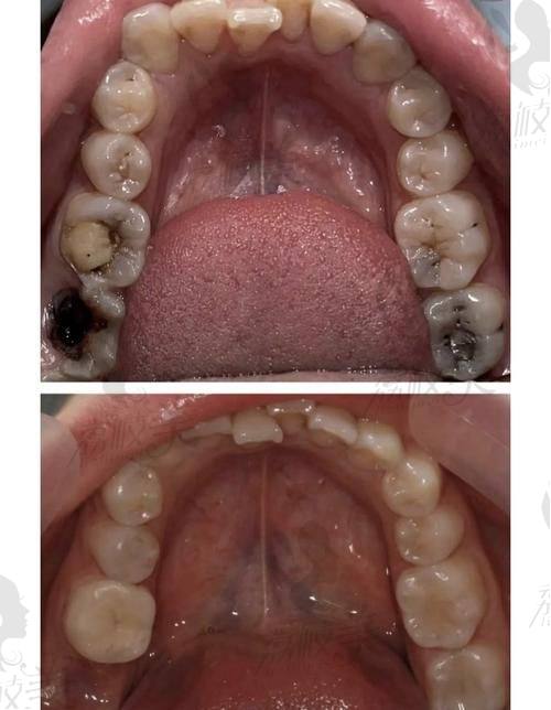
特别多人一提到补牙就眉头紧皱,不是担心疼痛,就是害怕费用高昂。但在杭州,有一家口腔机构正在悄然改变大家的这一印象——杭州雅莱口腔医院。对于成年人来说,不仅可以体验到舒适微痛的补牙服务,而且价格也是让人“长舒一口气”的良心价:成人补牙价格498元起!别怀疑,这项服务不仅快速、自然,还兼具美观成效,修补后的牙齿几乎让人看不出修复痕迹。在这里,补牙不再是负担,而是一次修复“牙”气的焕新体验。

 

杭州雅莱口腔医院成人补牙价格

在杭州雅莱口腔医院,成人补牙价格498元起这一信息相当吸引人。这一价格适用于基础型的补牙材料,比如国产树脂材料、基础光固化树脂补牙等。如果选择使用进口材料(如美国3M、美学复合树脂等),价格会有所提升,通常在680元到980元不等一颗。部分牙齿若需进行根管治疗或者嵌体修复,整体费用则可能达到两千元左右。不过这些都是医生在看诊后,根据牙齿的具体情况进行评估后收费的,价格果断、清晰。

价格透明只是雅莱的一大亮点。除了价格合理外,许多顾客选择这里还有一个重要原因——舒适感。医院配备有现代化的微痛麻醉技术,一改“补牙痛苦”的传统印象。从填充材料到边缘打磨,操作流程更注重患者感受。

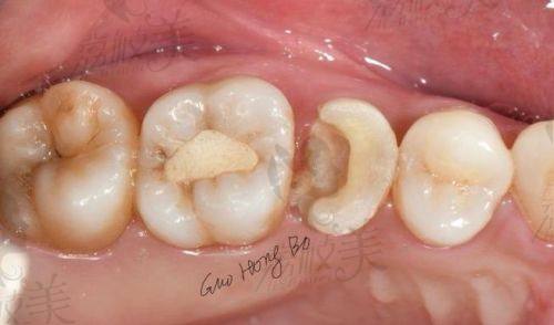
那么选择补牙的时候应该考虑哪些因素?首先就是材料。搜索热词之一——光固化树脂补牙,它是一种高强度、颜色接近真牙的材料,适合用于前牙补牙,修复成效更自然;其次是操作医生的经验与技术水平,这直接决定了补牙后的牢固度、美观度以及使用年限。

说到医生,我们必须要介绍一下雅莱口腔医院里的实力医师们啦!比如张晓晴医生,是雅莱口腔的“美牙修复小能手”,擅长各类树脂修复、牙体美学修复等项目,准度堪比美术师。而另一位医生杜玉良医生则被众多患者誉为“功能美学双修达人”,不但修得好看,还能修复牙齿的正常使用功能。

补牙价格包含哪些服务?

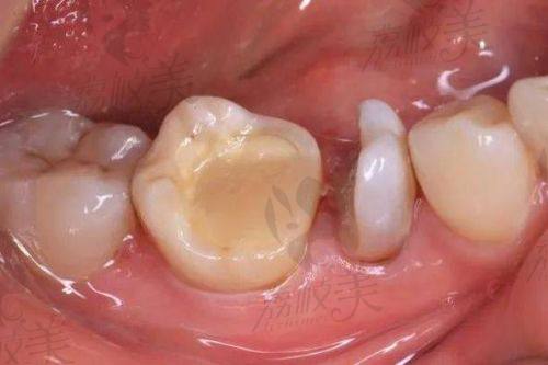
雅莱口腔的498元起补牙费用通常包含医生面诊、局部麻醉、龋坏组织去除、树脂充填以及初步抛光等基础流程。若补牙过程中需要充填剂扩容、精抛、冠部修复,这些均会提前说明,无强制推销项目,真正做到了诚信医疗。

除了大家熟知的光固化树脂补牙,还有一种词汇也受到大家搜索——3M纳米树脂补牙。它不同于普通树脂,在光泽度、耐磨性、仿真度等方面更为出色。

而目前比较高端热搜词中的嵌体补牙,则适用于牙齿缺损较大、但仍可保留牙根的患者,雅莱口腔提供多种嵌体材料如陶瓷、贵金属,价格范围在1500~3000元/颗。

那么价格差别这么大,我们普通用户怎么选?特别简单,医生会结合你的牙齿基础、补牙范围、咬合情况为你推荐合适的补牙类型,保护功能和 aesthetics(美观)双向在线。

杭州雅莱口腔补牙材料有哪些区别?

杭州雅莱口腔补牙材料有哪些区别?

在市场上,常见的补牙材料包括光固化树脂、银汞合金、玻璃离子水门汀、纳米透明复合树脂等。雅莱口腔已基本摒弃了不美观的银汞合金,主打美观性强、环保无汞的复合树脂类材料。

医院特别推荐一款性价比极高的补牙材料——日本富士SP双固化树脂,颜色可调、粘接牢固、抗压强度高,价格仅为358元起/颗。

对牙齿美观要求极高的职场人,还可选择美国进口3M树脂补牙,耐磨性和仿生结构更强,价格约为498~698元/颗。

杭州雅莱口腔医院介绍

杭州雅莱口腔医院介绍

杭州雅莱口腔为法国雅莱齿科品牌连锁,国内业务已覆盖华东多个重要城市。杭州奥体中 心店位置优越,就诊环境舒适优雅,面积超2000㎡,设有多间无菌诊室、舒适候诊区、儿童友好空间。各科室明确分区,服务效率高流畅。

医院荣获众多医患满意奖项,多次被评为区域性“优质医疗服务单位”,累计服务患者超十万人次。

交通便捷+预约灵活=修复牙齿更从容

交通便捷+预约灵活=修复牙齿更从容

雅莱奥体分院位于钱江世纪城,地铁2号线盈丰路站或1号线近江站即达。医院提供电话预约、官网预约、公众号预约多种方式,并支持节假日不打烊服务,真正方便上班族时间安排,看牙就是定个“早午餐的时间”。

总的来说,无论你是想快速补住一个“小坑”,还是想完全解决复杂牙病,在雅莱口腔都能找到合适的方案。杭州雅莱口腔成人补牙价格498元起,让更多人迈出了“补牙第一步”,也收获了健康与笑容。

本文说明

本文说明

本文旨在介绍杭州市雅莱口腔医院提供的成人补牙服务与价格相关内容。价格仅供参考,具体费用请以实际到院诊断为准。祝大家“牙”气满满,生活多点笑容!

口腔

评价(已有0人点评)

热门评论

医生推荐

    医院推荐

  • 北京八大处整形外科医院

    北京八大处整形外科医院

    北京八大处(全名为“中国医学科学院整形外科医院”)是我国 早的一家整形外科专科医院,被誉为“中国整形外科的摇篮”。 创建于1957年,是我国 早的整形外科专科医院,是中国整形外科事业的摇篮。医院坐落于风景秀丽的北京西山八大处,占地10万余平方米,是一座中国古典式的园林建筑群。 [查看全文]

    2020-05-13 10:13:21

  • 云南长鹏口腔拓东路口腔诊所

    云南长鹏口腔拓东路口腔诊所

    云南长鹏口腔医院管理有限公司是一家口腔连锁诊疗机构,长鹏口腔可开展牙体病、牙髓病、牙根尖周病、牙周病、儿童牙病、牙槽外科疾病、牙齿冷光美白、儿童及成人牙齿排列不齐矫正、各类假牙的制作、各种口腔种植牙的修复以及美容牙科业务,一直专注于口腔领域的建设,并且还一直秉承着“促进口腔健康,提高生命质量”的服务理念[查看全文]

    2025-04-02 11:11:58

  • 嘉兴秀雅口腔门诊部

    嘉兴秀雅口腔门诊部

    嘉兴秀雅口腔门诊部位于嘉兴市秀洲区成秀路128号,2019年成立,面积190㎡。它有正规资质,以患者为中心,设备先进、环境温馨。特色诊疗有牙齿矫正、种植牙等,杨用玲医生技术佳。价格透明,美国3M树脂补牙186元起等。可电话、微信预约,公交59路夜班等可到,患者评价较好。[查看全文]

    2025-06-24 14:57:46