发布时间:2025-09-12 16:58:02
提起牙齿种植,有人闻之色变,有人乐在其中。前者可能是“误入虎穴”,后者十有八九是遇上了好医生。今天,我们就来聊一聊杭州中瑞联合口腔的张俊伟医生,这位被患者亲切昵称为“种植界显微镜”的技术担当,他不仅能“用手术刀画圆”,还能以高水准的数字化技术,重塑每一个笑容的黄金比例,让“缺牙之痛”成为过去式。

张俊伟,现任杭州中瑞联合口腔种植院长,是团队中当之无愧的“种植大师兄”。他从牙医届“资优生”一路成长为数字化种植领域的实力派代表,凭借十多年如一日的专注和磨炼,使他在全口无牙颌种植修复、骨增量重建等复杂项目中游刃有余。为数千名患者成功完成牙齿修复,不仅赢得了口腔同行的认可,也斩获了一票忠实粉丝,连“怕医生”的奶奶都愿意坐上他的椅子,安心喝茶聊天式种牙。

张俊伟系中华口腔医学会会员、中华口腔医学会种植专精委员会会员,具备正规执业资质,并取得瑞典Nobel种植系统认证讲师资格。他设立在杭州萧山区的中瑞联合口腔门诊部,不仅是他行医的“主战场”,也是口腔数字化种植技术在浙江落地生根的典范之地。

张俊伟医生的强项可以说是一张“打牙高能卡”。尤其在以下项目中实力不凡:
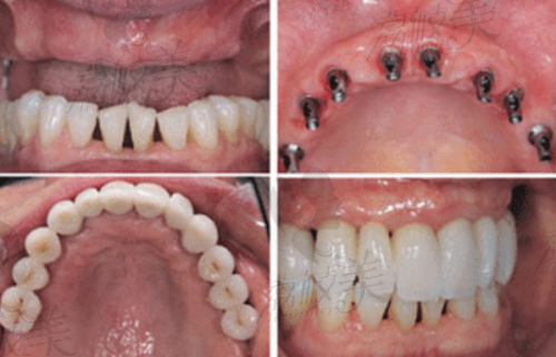
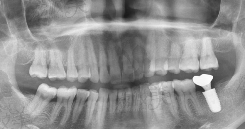
—— 即刻种植:患者“今天缺牙,明天就能大笑”,他用数据说话,让种牙从“等上几个月”变成“一气呵成”。
—— 全口/半口无牙颌方案:面对骨量不足患者,他可以灵活制定方案,实现稳固自然修复。
—— 微痛微创种植牙:张院长始终致力于减轻患者的手术恐惧,术中疼痛处理堪比剥葡萄皮,手术轻柔不言之中。
—— 上颌窦提升术及复杂骨增量:难度大,风险高,但这是他的“拿手好戏”;他曾在国内外会议上发表种植并发处理实例,收获大批同行点赞。
—— 数字化美学修复与咬合重建:让人工牙“不落俗套”,功能与美观两全齐美。

名声不是吹出来的,荣耀也不是随便凑来的。张俊伟医生的资质可以说是“自带高光”:
· 中华口腔医学会会员
· 中华口腔种植专精委员会成员
· 瑞典Nobel种植系统法定认证讲师
· 国内外口腔种植学会(ITI)会员
· 美加贴面认证医师
· 多次参与国内外口腔医疗峰会,与欧美、日韩骨干医生同台交流

张俊伟医生不仅会“种牙”,更擅长“算牙”。他积极推广数字化种植技术,将传统经验与高端影像技术融合,种植过程效率高且精细,真正做到“种得稳、种得久、种得美”。他还是“技耗分离”理念的倡导者,强调医生技术和种植系统的各司其职,这不仅给患者带来合理的费用结构,也提高了整体治疗质量。
想和张医生面对面?方法其实比排网红餐厅的队还简单!
可通过中瑞联合口腔官网在线预约,也可以拨打门诊部电话提前挂号。建议提前一周报名,节假日更是“早起鸟儿有虫吃”,毕竟他“一号难求”的场面可是连护士都笑称“抢票系统都助力不了”。
如果你还在犹豫“到底该不该种牙”,或者担心“种牙靠不靠谱”,那不妨听听张医生患者们的“亲牙体验”:种植当天能吃流食、一周后就啃鸡腿不是梦;无牙颌老人重拾咀嚼力,形象焕然一新,更有患者表示“像是换了一张脸”。这些反馈,或许正是他专精实力的至佳注脚。
在牙科这个“不容马虎”的行业里,张俊伟医生严谨却不刻板,温和又极具职责感。他坚信,精细诊断和理想修复才是对患者更温柔的告白。正如他曾在采访中所说:“牙虽小,幸福感却深。为患者守住一口好牙,是我毕生更引以为傲的事。”
杭州中瑞联合口腔门诊部是一家专注于口腔医疗服务的专业机构,致力于为广大患者提供高品质、全方位的口腔诊疗解决方案。 门诊部拥有一支技术精湛、经验丰富的口腔医疗团队,团队中的医生均毕业于知名口腔院校,具备扎实的专业知识和丰富的临床经验。他们不仅在常见口腔疾病的诊断和治疗上有着高超的技艺,还紧跟国际口腔医学发展趋势,不断学习和掌握最新的诊疗技术,能够为患者提供个性化、精准化的治疗方案。 在诊疗环境方面,杭州中瑞联合口腔门诊部打造了舒适、温馨且私密的就诊空间。从接待区到诊疗室,每一处都经过精心设计和[查看全文]
2025-09-12 15:35:14
2025-05-27 18:08:48
2025-04-01 15:54:16
2025-03-26 16:54:44
2025-03-11 19:17:23
2025-01-15 18:36:22
2025-01-08 15:42:37
2024-12-24 18:00:45
2024-12-16 17:55:39
热门评论(已有0人点评)